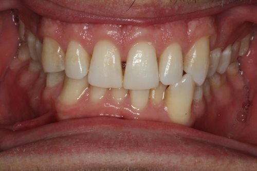
Looking for a discreet, comfortable way to straighten your teeth? Invisalign at McKenzie Dental offers a modern orthodontic solution for teens and adults at our family friendly dental clinic in SE Calgary.
Led by Dr Enns and Dr Patton, our experienced dental team provides personalized Invisalign treatment designed to fit your lifestyle — without metal brackets or wires.
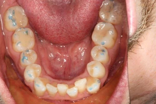
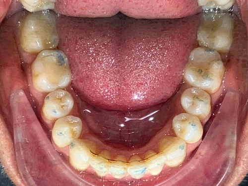
Invisalign is an orthodontic treatment that uses a series of clear, removable aligners to gently move teeth into proper alignment. Each aligner is custom-made using advanced 3D digital scans to ensure precise, predictable results.
Because the aligners are nearly invisible, Invisalign is a popular choice for patients who want to improve their smile confidently.




Invisalign can correct many common orthodontic concerns, including:
During your consultation, Dr Enns or Dr Patton will determine if Invisalign is the right option for you or your child.
Most Invisalign treatments take between 6 and 18 months, depending on your individual needs and how consistently aligners are worn. You’ll receive a personalized timeline during your consultation at McKenzie Dental.
Invisalign aligners are made from smooth, medical-grade plastic for comfort. Some mild pressure is normal when starting a new aligner — a sign that your teeth are moving as planned.
As a family friendly dental clinic, we love that Invisalign:
Ready to take the first step toward a straighter smile? Book your Invisalign consultation today at McKenzie Dental and discover how Invisalign can transform your smile — comfortably, discreetly, and confidently. Our team is excited to welcome you to our family friendly SE dental clinic.
Ready to discover a new kind of dentist in Calgary? McKenzie Dental is here for you with compassionate care, advanced dentistry, and a team that treats you like family.
Schedule your visit online or give us a call—we can’t wait to welcome you.